라미네이트 후기 '자연치아 보존'
안녕하세요. 올바른 치아성형을 위해 늘 노력하는 미소드림 입니다. 이번 시간은 무분별한 삭제없이 자연치아를 최대한 보존하면서 라미네이트 시술이 진행된 '라미네이트 후기' 입니다. 자연치아 보존, 최소삭제. 이 두가지 명제를 어떠하게 실천했는지, 티스토리에서 확인해볼까요? ^8^
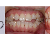
▼ 치료 전
위 앞니1개, 아래 앞니4개가 불규칙한 상태로 틀어져있습니다. 이런 경우 교정으로 배열을 고르게할 수 있고, 또 라미네이트, 올세라믹 같은 심미보철 치료로 치열을 바로잡을 수 있습니다. 각각의 치료가 장,단점이 있는데. 두 치료를 고민하시는 분들께 이렇게 말씀을 드리고 싶습니다. "우선, 교정을 먼저 고려해보세요."라고요.
이유는 라미네이트시 치아삭제를 해야하기 때문입니다. 라미네이트 치료를 간단히 설명해드리면, 치아의 겉면만을 살짝 삭제한 다음 치아 모양의 라미네이트를 제작해서 붙이게 됩니다. 인조손톱을 붙이는 네일아트와 비슷합니다.
라미네이트 치료기간은 1-2주
치과 방문은 2,3회정도로
교정을 해서 치아배열을 고르게 하는 것보다 짧은 시간안에 문제를 해결해줍니다.
그러나 앞에서 말씀드린 것처럼 삭제를 해야하기 때문에
둘다 가능한 케이스(교정, 라미네이트)라면 교정을 우선 고려해보시고,
교정으로도 해결이 안되는 부분이 있다면..(예를들어 치아 모양,색상,크기 등의 변화는
교정을 할 수 없는 부분이기 때문에 라미네이트와 같은 심미보철 치료를 받아야 함)
그때 라미네이트를 선택하셔도 늦지 않습니다.
정밀검사 결과 앞니의 틀어짐이 너무 심해 라미네이트 치료 적응증에 해당되지 못했습니다. 따라서 교정이나 올세라믹(치아전체를 삭제한 후 씌우는 치료)을 해야했습니다. 그러나 환자분은 라미네이트보다 삭제량이 큰 올세라믹은 부담스러워 하셨습니다. 그래서 자연치아를 최대한 보존하면서 치아삭제량을 최소화시키기 위한 방법으로 교정을 병행하는 라미네이트 술식으로 진행 됐습니다. 결과를 확인해보겠습니다.
▼ 라미네이트 후기(교정병행)
라미네이트를 통해 틀어졌던 배열이 가지런해졌습니다. 만약 틀어졌던 모든 치아를 다 심미보철 치료했다면, 5~6개정도의 치아를 삭제해야 했습니다. 그러나 교정을 병행하여서 자연치아를 보존하면서 치아삭제량을 최소화 시켰습니다. 결과적으로 한개의 치아만 라미네이트를 했으니까요^^
라미네이트, 올세라믹 과 같은 심미보철 치료는 '치아성형' 이라고 말할만큼 아름다운 후기를 보여주고, '급속교정' 이라고 말할만큼 짧은 치료기간을 나타냅니다. 그리고 교정으로 할 수 없는 치아 모양과 크기 등의 문제를 해결해주고, 충치나 사고로인해 깨진 치아를 원상태로 복원해주면서 치아건강도 회복시켜줍니다. 다만, 이러한 치료과정속에서 '삭제'라는 부분이 발생하는 만큼, 신중한 치료접근, 그리고 꼭 필요한 치아만 치료하는 기본 원칙이 지켜져야 합니다.
바른 라미네이트 후기를 보시고 방문하시는 분들 중, 어떤분들은 교정이 필요하기도, 어떤 분들은 라미네이트와 올세라믹 같은 심미보철 치료가 필요하기도 합니다. 혹여 본인의 생각과 다른 진단이 내려졌더라도, 또는 무조건 A라는 진료를 받아야 겠다는 의지가 확고하더라도... 의료진이 검사를 통해 심사숙고하여 내려드린 치료계획을 한번즘 자세히 살펴보시고, 긴밀한 상담을 통해 보다 효과적이면서 본인의 구강상태에 맞는 치료를 선택하시면 좋겠습니다.
※ 치료받으실 치과의 라미네이트 후기, 의사선생님의 약력을 꼼꼼히 살펴보는 것도 만족스러운 치료 결과에 다가가는 지름길일 수 있으니 참고하세요
모바일 접속시 ☞클릭
'치과 지식' 카테고리의 다른 글
| 투명교정비용 이렇게들어갑니다~ (0) | 2016.11.18 |
|---|---|
| 클리피씨교정 비용은? 앤드 조은점은? (0) | 2016.11.17 |
| #토끼이빨교정#올세라믹#치과 심미보철 치료 (0) | 2016.11.14 |
| 치아성형 연예인처럼, 그리고 건강하게 (0) | 2016.11.11 |
| 덧니투명교정 잘하는 치과 MisoDream (0) | 2016.11.10 |