크라운치료(앞니 심미보철)
변색되고, 못생긴..아주 굉장히 부자연스러운 앞니보철을 교체했습니다.
(기존 앞니크라운은 PFM, 교체한 앞니크라운은 올세라믹)
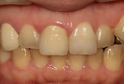
/전/심미보철
앞니4개에 대하여 보철치료 받았던 분인데요. 가운데를 기준으로 왼쪽 앞니2개는 비교적 멀쩡하지만..치아 모양이 이쁘지 못합니다. 오른쪽 앞니2개는 변색이 보입니다. 크라운 보철물과 잇몸경계부쪽으로 변색된게 보이는데요. 이뿐만아니라 크라운의 생김새 역시 굉장히 부자연스럽습니다.
이러한 심미적 결함은..입술을 다물었을 때도 피해를 주었습니다. 바로 이렇게 치아가 보이는 형상으로 되버린건데요. 그래서 잘못되고 부자연스러웠던 앞니보철물을 교체하기로 했습니다. 이번 크라운치료시 선택한 보철물은 안과 겉이 모두 치아색상의 세라믹으로 구성된 올세라믹 입니다.
/후/심미보철
실제 앞니같은 자연스러운 모양과 투명도로 크라운치료가 끝이 났습니다. 변색문제도 해결됐고, 좌우 대칭이 맞지 않고 불규칙했던 치열도 해결됐습니다. 올세라믹 중에서도 단단함과 심미성을 충족시켜주는 이맥스를 선택했으며, 치료기간은 약2주, 치과 방문은 3회정도 필요했습니다.
미소라인을 확인해볼 수 있는 사진, 그리고 입술을 다물었을 때 앞니가 보이지 않는 사진 입니다. 기존 앞니보철물의 이상한(?)치료로 앞니가 보였었는데 이제는 보이지 않습니다. 그리고 자신있게 웃을 수 있게 됐습니다. ^^
출처: 심미보철 치과 - 미소드림치과
http://www.misodrim.co.kr/ab-1060
'치과 지식' 카테고리의 다른 글
| 올세라믹 크라운 선택 (급속교정비용 비교까지) (0) | 2016.11.01 |
|---|---|
| 은근 신경쓰이는 블랙트라이앵글 치료는 레진,올세라믹 등 (0) | 2016.10.28 |
| 거미스마일 교정 방법 하나-거미스마일 보톡스!! (0) | 2016.10.26 |
| 치과 앞니임플란트 VS 앞니브릿지 치아 (4) | 2016.10.26 |
| 골드인레이(금인레이) 떨어짐,탈락했는데 다시 붙일 수 있을까? (0) | 2016.10.21 |