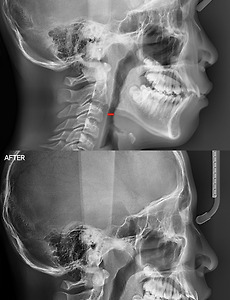
미소드림치과79 턱관절 안면비대칭 교정을 햐고 엇어염 ■ 미소드림 치과>턱관절/비대칭>비수술 교정 진료 지식 얼마전 대기실에서 사진을 찍고 있었습니다. 본원 홈페이지에 사진 사용을 허락한 남자 분을 찍어주고있던건데요. 갑자기 턱관절 안면비대칭 문ㄴ제로 검사와 상담을 받았던 어머님께서 "아! 홈페이지에서 본 분인다."이리 말씀을 하시면서 상태가 정말 좋아졌다며 엄지척을 해주셨습니다 ㅎㅎ 그래서 이번 포스팅은 턱관절 안면비대칭 교정을 하고 있어요 라는 한 문장을 증명해줄 경과 사진 입니다. 사진과 함께 왜 비대칭이 생겼던것인지를 알려드리는 지식글도 남겼습니다. 같은 증상으로 고민하는 분들께 조금의 도움이라도 되길 희망해봅니다. 감사합니다. 턱관절은 좌우 양측이 따로 운동하지 않습니다. 둘이 동시에 움직이는 협조 운동을 하는 관절로 회전운동외에 활주운동을 합니다.. 2018. 5. 30. 턱관절 안면비대칭이 나타나면 어떻게 해야하나?? 턱관절 안면비대칭..어떻게 해야하나요? 남들과 달리 내 얼굴을 거울 통해서 보면..혹은 사진을 찍어서 보면..좌우 대칭이 너무 맞지 않는다. 이건 안면비대칭이 확실하다 라고 생각되는 분들이 의외로 많습니다. 안면비대칭, 왜 나타난걸까요? 케바케 (요즘 줄인말로요 ㅎㅎ) 지만, 보통 턱관절이 틀어지면서 안면비대칭이 나타납니다. 턱관절 장애 및 틀어짐이 없을 때는 이렇게 교합평면이 수평을 이루게 됩니다. 그러나 턱관절 장애가 생기어 교합평면이 무너지게 되면, 아래 이미지와 같은 모습으로 변화합니다. 교합평면이 무너졌고, 안면비대칭 모습을 보여주게 됩니다.그럼 엑스레이 사진과 얼굴 정면 사진을 보면서 턱관절 안면비대칭 증상을 자세히 살펴보겠습니다. 턱관절 상태가 잘 보이는 엑스레이 사진인데요. 빨간 선으로 턱.. 2018. 5. 23. 턱관절 장애 자가진단 이렇게 해보자 - 강남 턱관절치료병원 강남역 미소드림치과턱관절치료병원, 티스토리 포스팅 턱관절 장애 자가진단 이렇게 해보자(자료출처:임상에서 쉽게 적용할 수 있는 턱관절 장애의 해법 / 3장 65페이지) (1) 상악 중정치(대문니)의 중심선과 아랫니 중절치의 중심선이 일치된 상태에서 입을 벌렸을 때 중심선이 똑바로 벌어지는가 확인해본다. 만약 입이 한쪽으로 돌아간다든지 지그재그로 입이 벌어지면 턱관절 디스크 및 주변 근육에 이상이 있는 것으로 볼 수 있다. (2) 두 손을 턱관절 부위에 올려놓고 입을 벌렸을 때 턱관절에서 소리가 나는지 확인한다. 만약 소리가 나면 턱관절 디스크에 이상이 생긴 것이다 (3) 두 손을 턱관절 부위에 올려놓고 입을 벌렸을 때 입을 크게 벌리는 순간 턱관절 부위에 불룩하게 올라오는 것이 만져지는가 확인한다. 만약 .. 2018. 5. 15. 거북목(일자목), 호흡장애가 턱관절 장애 때문이라고? 거북목(일자목)이 왜 생겼을까?알고보면 턱관절 장애 때문? 왜 숨쉬는게 버거울까?알고보니 호흡장애가 생긴게 턱관절 장애 때문? 이라는 글을 보시면 쉽게 이해가 되지 않을 것 같습니다.왜냐면 턱관절과...목,호흡..정말 연관없어보이니까요.그러나 분명 턱관절 장애로인해 이 두가지 문제(거북목 증상 및 호흡장애)가 발생하기 때문에, 이번 포스팅을 통해 하나의 의료지식 추가해가십시오 ^^ 모든 거북목(일자목)의 케이스가, 또 모든 호흡장애의 케이스가 턱관절 장애 때문은 아닙니다. 그러나 턱관절 장애로 아래턱이 과도하게 뒤로 밀려있다면, 치과를 내원하여 정확한 검사를 받아봐야 합니다. 과개교합 상태에서 교합간섭이 발생하면서 턱관절 장애가 생겼고, 아래턱이 뒤로 밀렸습니다. 이러한 이유로 수면 중 기도쪽이 압박을 .. 2018. 5. 15. 이전 1 2 3 4 5 ··· 20 다음